
Фильтр
Экстренная помощь при падении с высоты
В отделение экстренной помощи доставлен пациент после падения с высоты во время проведения строительных работ. Состояние тяжелое, выраженный болевой синдром. В противошоковой палате врачи экстренно выполнили ультразвуковое исследование (УЗИ) в рамках политравмы (eFAST протокол), по результатам которого исключено внутрибрюшное кровотечение, жизнеугрожающие травмы легкого и сердца. После незамедлительно выполнена компьютерная томография с внутривенным контрастным усилением для точной диагностики характера повреждений. Установлены многооскольчатый чрезвертельный перелом бедренной кости, перелом и вывих плечевой кости, перелом тела грудного позвонка. Проведены экстренные мероприятия по фиксации переломов, вправлен вывих плеча. Обезболивание достигнуто посредством введения сильнодействующих анальгетических препаратов. Гемодинамика и респираторная системы стабилизированы. Пациенту еще предстоит оперативное вмешательство - остеосинтез - после которого последует длительный период реабилитации.
Показать еще
- Класс
Дистальная резекция поджелудочной железы с сохранением селезенки: клинический случай
Основной задачей, помимо радикального удаления опухоли, было сохранение селезенки. Несмотря на значительные размеры образования, хирургам удалось сохранить орган, что имеет принципиальное значение для поддержания иммунного статуса и качества жизни молодой пациентки в будущем. В ходе вмешательства было проведено срочное гистологическое исследование. Морфологический анализ в режиме реального времени подтвердил наличие нейроэндокринной опухоли (НЭО), что позволило врачам окончательно верифицировать диагноз и подтвердить адекватность выбранного объема резекции непосредственно в операционной. На сегодняшний день пациентка переведена из отделения интенсивной терапии в палату стационара. Состояние стабильное, начат протокол ранней послеоперационной реабилитации. Главный итог — тот факт, что спустя сутки после такой серьезной операции человек уже восстанавливается в палате, — лучшая оценка работы всей команды: анестезиологов, реаниматологов, хирургов и медицинских сестер. При дистальной резекц
Показать еще
- Класс
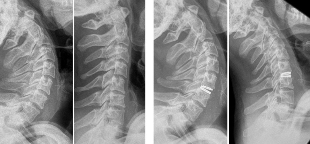
Возвращение к активной жизни после эндопротезирования диска
Пациент: 32 года, занимается тяжелым физическим трудом. Жалобы: более года мучили постоянные боли в шее, которые временно уменьшались только в положении лёжа. Диагностика:
Дегенеративное заболевание межпозвонкового диска с нестабильностью сегмента.
Консервативное лечение (медикаменты, блокады) не дало результата. Решение:
Эндопротезирование межпозвонкового диска — современная альтернатива спондилодезу, которая сохраняет подвижность позвоночника и снижает нагрузку на соседние сегменты. Результат:
Уже через 2 месяца после операции пациент полностью восстановился.
Вернулся к работе без ограничений. Помните: хроническая боль в шее или спине — не приговор! Современные методы лечения помогают вернуть качество жизни даже в сложных случаях.
Показать еще
Геморрагический цистит
В отделение экстренной помощи обратилась пациентка 85 лет с жалобами на жжение и боль при мочеиспускании, частые позывы и появление крови в моче. Ранее у неё отмечались эпизоды хронического цистита и камень мочевого пузыря, удалённый эндоскопически в 2023 году. Анализы показали выраженное воспаление: большое количество лейкоцитов и эритроцитов, белок в моче, положительные нитриты, мутность и щелочную реакцию. С помощью КТ мы исключили наличие камней и опухоли мочевого пузыря. Диагноз — геморрагический цистит, начата антибактериальная терапия цефалоспоринами III поколения. Уже через сутки — выраженное улучшение состояния. Через 2 дня получены результаты посева мочи и выявлены: Геморрагический цистит — воспаление слизистой мочевого пузыря с повреждением сосудов и появлением крови в моче. Причиной могут стать бактерии, вирусы, лекарственные препараты, лучевая терапия или застой мочи. Основные симптомы: Что делать: Вывод: Геморрагический цистит — серьёзное, но контролируемое состояние.
П
Показать еще
- Класс
🏥 Вакцинация от желтой лихорадки
🏥 Вакцинация от желтой лихорадки В Ильинской больнице вы можете пройти вакцинацию против желтой лихорадки перед поездками в страны, где существует риск заражения этим заболеванием. 🔹ЧТО ВАЖНО ЗНАТЬ О ЖЕЛТОЙ ЛИХОРАДКЕ Желтая лихорадка — это смертельно опасное вирусное инфекционное заболевание, передающееся через укусы комаров и распространенное в тропических регионах Африки и Америки. По данным Всемирной организации здравоохранения, риск заражения сохраняется в десятках стран этих регионов. Профилактическая вакцинация является единственным надежным способом защиты от заболевания для лиц, направляющихся в эндемичные страны. 🔹МЕЖДУНАРОДНОЕ СВИДЕТЕЛЬСТВО О ВАКЦИНАЦИИ После вакцинации пациенту оформляют международное свидетельство о вакцинации, которое может потребоваться при въезде в ряд стран или при транзите через территории с риском передачи инфекции. Иммунитет формируется примерно через 10 дней после прививки и считается длительным после однократной вакцинации. 🔹КОМУ МОЖЕТ ПОНА
Показать еще
- Класс
Может ли употребление фруктов влиять на риск развития сахарного диабета 2 типа?
Вокруг употребления фруктов существует множество противоречивых мифов — от опасений по поводу содержания сахара до строгих «графиков» их приема. Обо всём по порядку. Подробная статья от 2023 года на эту тему Мифов и страшилок вокруг сладкого так много, что у людей в голове сложилась прочная цепочка: сладкое → вредно → фрукт тоже сладкий → на всякий случай есть не буду. Между тем данные ряда исследований показывают, что употребление фруктов в умеренном количестве может снижать риск сахарного диабета 2 типа. Объяснение этому есть: фрукты — источник клетчатки и фитохимических веществ, которые замедляют усвоение сахара, улучшают чувствительность к инсулину и снижают нагрузку на поджелудочную железу. Важный момент: фруктовые соки никакого защитного эффекта не показали. Сок — не фрукт, и работает иначе. То же касается консервированных фруктов с добавленным сахаром: желательно всё же выбирать фрукты без него. Получается, что цельные фрукты — не враги. Скорее наоборот. Другой вопрос — сколько
Показать еще
- Класс
Двойной удар: механизм противоударной травмы головы на примере из практики
Сегодня представим вам клинический случай, в основе которого лежит классический механизм ударно-противоударной травмы головы. Пациент 40 лет, страдающий гипертонической болезнью, обратился в Отделение экстренной помощи через несколько дней после падения. За 2 недели до падения пациенту была проведена коррекция антигипертензивной терапии с увеличением дозы одного из препаратов. В день падения при резком вставании с кровати пациент почувствовал головокружение, упал и потерял сознание. Головокружение и потеря сознания могли быть проявлением так называемой «ортостатической гипотензии», когда организм не успевает отреагировать на повышенную потребность в кровотоке при резкой вертикализации, которая может быть побочным эффектом антигипертензивных препаратов, а также следствием обезвоживания или хронических заболеваний. Пациент обратился в Ильинскую больницу, где была проведена компьютерная томография головного мозга и выявлены следующие изменения: Перелом костей черепа и ушиб головного мозга
Показать еще
Перелом как повод увидеть полную картину болезни
Перелом плечевой кости у пожилого пациента на первый взгляд кажется типичным поводом для обращения к травматологу. Боль, невозможность поднять руку, необходимость фиксации и последующей реабилитации — всё это рутина в отделении травматологии. Но у пациентов с хроническими заболеваниями перелом нередко становится лишь отправной точкой, за которой скрываются куда более серьёзные проблемы. Особенно это заметно у людей с сахарным диабетом, анемией и хроническими болезнями печени. У таких пациентов заживление костей идёт медленнее, риск осложнений выше, а любое вмешательство должно проводиться с оглядкой на общее состояние организма. В таких случаях задача врачей — не только восстановить кость, но и стабилизировать внутренние процессы, от которых зависит исход лечения и качество жизни. В Ильинскую больницу поступил пожилой пациент с переломом плечевой кости после бытовой травмы. Он жаловался на сильную боль в области плеча и невозможность двигать рукой. В приёмном отделении была подтвержден
Показать еще
Опухолевая острая толстокишечная непроходимость: минимально инвазивное лечение
Опухолевая острая толстокишечная непроходимость может быть разрешена минимально инвазивно методом стентирования. Дано: пациент со стенозирующей опухолью ректосигмоидного перехода. Кишечная непроходимость. Отсутствие стула два дня. Тошнота, рвота. Госпитализирован вечером через отделение экстренной помощи Ильинской больницы. По данным КТ — толстокишечная непроходимость. Протяженность блока — 3 см. С пациентом обсудили два варианта, с помощью которых данную ситуацию можно разрешить: стент или стома. Выполнена операция: эндоскопическое стентирование частично покрытым стентом длиной 9 см. Длительность операции — 19 мин (начало 19:27, конец 19:46). На случай невозможности стентирования хирургическая бригада была готова перейти к плану Б. Для пациента всегда важно получить оптимальное решение, имея выбор. Мы можем предоставить выбор в любое время 24/7.
Показать еще
- Класс
⚡️Неотложная детская стоматология ночью
⚡️Неотложная детская стоматология ночью Детские стоматологи Ильинской больницы оказывают помощь при отеках лица, травмах зубов, острой зубной боли даже ночью. С 20:00 до 8:00 доступны: 🔹Экстренное удаление зуба в условиях наркоза (общего обезболивания) или закиси азота (седации — легкого успокаивающего эффекта с сохранением сознания) 🔹Стоматологическая помощь при отеках щеки 🔹Первая медицинская помощь, реплантация зуба (возвращение выбитого зуба в лунку), шинирование (фиксация подвижных зубов) при травмах зубов 🔹Лечение при остром или обострении хронического пульпита (воспаления зубного нерва) Диагностика 24/7 🔹рентген (прицельные снимки зубов), 🔹КЛКТ (3D-снимок челюстей), 🔹МРТ (мягкие ткани и суставы). Врачи-рентгенологи тесно сотрудничают со стоматологами, дают точную интерпретацию и участвуют в консилиумах в сложных случаях. Детские стоматологи работают по стандартам доказательной медицины, используя методы, подтвержденные международными исследованиями, и сотрудничают с
Показать еще
- Класс
загрузка
Показать ещёНапишите, что Вы ищете, и мы постараемся это найти!
Левая колонка
О группе
Канал о медицине: мифы и реальность, исторические хроники, современная доказательная медицина.
YouTube: www.youtube.com/@iHospital_ru
Телеграм: t.me/iHospital_ru
Показать еще
Скрыть информацию