
Левая колонка
Фильтр
поделилась публикацией
Кто должен платить за домофон по закону и на что идут эти деньги
Собственникам и арендаторам квартир часто бывает сложно разобраться с вопросом оплаты домофона. Многие не знают, имеют ли право соседи поставить домофон без согласия всех жильцов, нужно ли оплачивать услугу, если семья не пользуется устройством, кто должен совершать платежи и куда перечислять деньги. Оплата домофона регулируется правовыми нормами совместного проживания в многоквартирных домах. Разберёмся, кто по закону обязан платить за услугу домофонии, на что идут собранные средства и как избежать конфликтов с УК и соседями. Домофоны обеспечивают безопасность в многоквартирных домах. Они позволяют жильцам контролировать доступ в подъезд и общаться с гостями. Простейший домофон состоит из запирающего устройства с панелью вызова на двери в подъезде и переговорных трубок в квартирах жильцов, соединённых кабелями. Современные домофоны оснащают видеокамерами, ими можно управлять через приложение, но основного принципа работы это не меняет. За работу домофона может отвечать УК, обслуживающ
Показать еще
103 комментария
91 раз поделились
745 классов
- Класс
поделилась публикацией
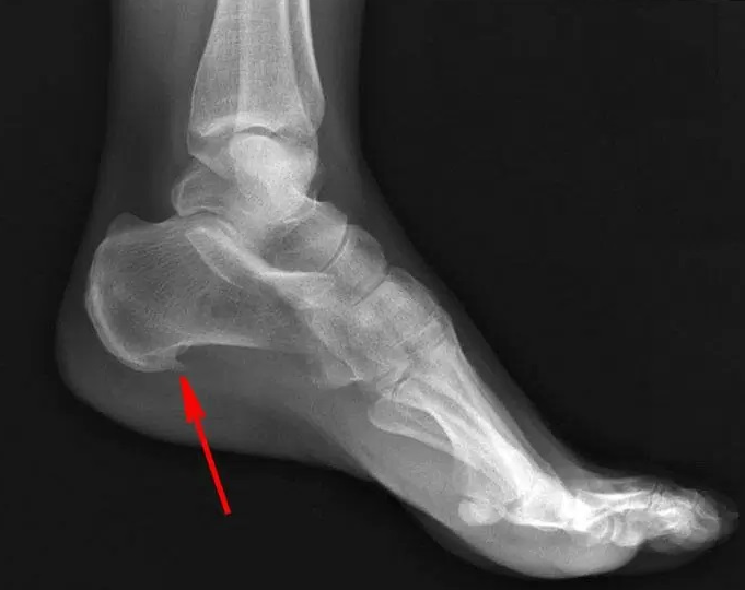
Резкая, сильная боль в пятке, будто гвоздь забили – что такое пяточная шпора и как ее лечить?
Одной из самых неприятных для ног проблем считается паточная шпора. Она возникает в области стопы, внутри пятки, мешая нормальному хождению не то что на каблуках, а вообще в обуви как таковой. Молодые мамы также могут страдать от данной патологии, в виду особенностей изменений организма и метаболизма, поэтому важно знать, что это и каким образом распознать проблему. Что это такое? Шпора пяточная (плантарный фасциит) – это особая патология опорно-двигательного аппарата, которая проявляется болевыми ощущениями в области пятки, вызванными наличием воспалительных и дегенеративных изменений в области подошвенной фасции. Боли возникают в связи с травмированием мягких тканей, которые окружают пяточную кость, и формированием костного разрастания в виде шипа. Обычно шпора пяточная является результатом постоянной физической нагрузки на ноги и область подошвенной фасции, где возникают микроскопические надрывы тканей, которые воспаляются и формируют боли. Пяточная шпора – причины Обычно пяточная
Показать еще
94 комментария
226 раз поделились
2.2K классов
- Класс
поделилась публикацией
Как избавиться от пяточной шпоры
Часто у пожилых мужчин и женщин образуется болезненная шишка на пятке из-за воспаления стопы. Это вызывает боль, которая усиливается при ходьбе. Проблема может появиться из-за плоскостопия, лишнего веса, сахарного диабета, артрита, малой активности, нарушений кровообращения, после травм или инъекций в пятку. Причины возникновения Существуют три типа пяточной шпоры: Симптомы Основной признак — это стартовая боль, проявляющаяся, когда человек встает после долгого сидения или лежания, или утром, делая первые шаги. Боль может быть острой и сосредоточена в пятке, но иногда распространяется на всю ногу. Сначала она сильная, но через 5-10 минут может утихнуть. Иногда в течение дня боль возвращается и становится хуже. Другие симптомы пяточной шпоры включают: Пяточная шпора бывает двух видов: внутренняя и задняя. Внутренняя находится на дне пятки и представляет собой костный нарост. Задняя, или ахиллова, шпора формируется сзади, где крепится сухожилие. Особенности Первая стадия заболевания, или
Показать еще
18 комментариев
59 раз поделились
627 классов
- Класс
поделилась публикацией
Откуда берётся пяточная шпора и как вернуть себе лёгкость шага
Представьте: вы встаёте утром с кровати, делаете первый шаг — и резкая, жгучая боль пронзает пятку, будто в неё вонзили раскалённый гвоздь. С каждым шагом всё хуже: невозможно ступить на пятку, приходится перекатываться на носок или хромать. Эта боль может пройти к обеду… но завтра утром вернётся вновь. Так начинается пяточная шпора — состояние, с которым сталкиваются миллионы людей, особенно после 40 лет. Многие думают, что шпора — это костный «нарост», который «врастает» в мягкие ткани и вызывает боль. Но на самом деле всё сложнее — и одновременно проще. Боль возникает не из-за самой шпоры, а из-за воспаления, которое её сопровождает. А значит — с ней можно справиться. Даже без операции. Давайте разберёмся, что на самом деле происходит в пятке, почему это случается именно с вами, и какие проверенные методы помогают вернуть лёгкость шага — без боли, без страха и без лишних расходов. Что такое пяточная шпора — на самом деле? Пяточная шпора — это кальциевое уплотнение (остеофит), кото
Показать еще
20 комментариев
442 раза поделились
3.1K классов
- Класс
Поделилась фотографией
- Класс
Поделилась темой
Полезно знать
✨ Полезно знать — ваш гид по простым и нужным вещам каждый день!
Открой для себя кладезь жизненных советов, которые реально работают:
🌿 Умные дачные и садовые хитрости
🍲 Домашние рецепты — быстро, вкусно, по-доброму
🧠 Советы, которые экономят время, деньги и нервы
📸 Полезные лайфхаки, фото-идеи, народные средства
💬 Добро, уют и мудрость — каждый день в ленте
👉 Присоединяйтесь — будет интересно, уютно и по-настоящему полезно!
182K участников
52 комментария
422 раза поделились
2.4K классов
- Класс
На этом пока всё
Войдите в ОК, чтобы посмотреть всю ленту
603
- НИНА ГРИШИНАМосква
- Нина Лучког. Сухиничи (Сухиничский район)
- Анатолий Гришинг. Сухиничи (Сухиничский район)
- Лидия и Евгений Тарадановы (Мартыненко)пгт. Середейский (Сухиничский район)
90
- Моя Калуга11223 подписчика
- Калужская область43979 подписчиков
- RosCo | Consulting & audit3499 подписчиков
- Середейская городская модельная библиотека98 подписчиков
- ПЛАТФОРМА15166 подписчиков